Please take a moment to look through our smile makeover gallery to see some of our patients' "before-and-after" photos for examples of our cosmetic dental work.


A 9 year old patient with fractured front tooth.
Tooth was restored with a tooth colored bonded filling.


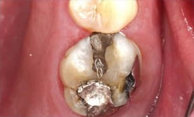
Patient presented with 2 broken silver fillings and recurrent decay.
After carefully cleaning the decay and removing the the ill fitting silver fill, teeth were restored with a bonded white composite filling, giving them a natural appearance.


This patient's tooth was severely compromised by decay and fracture.
The tooth was restored with a porcelain crown, bringing back both function and aesthetics.


A very large silver filling needed to be replaced.
Due to extensive compromise of the tooth structure, a natural looking porcelain crown was made to protect the tooth from fracture.